طبيب يكشف عن اصابة شاب بمرض السل بطريقة غريبة ورغم مرور سنوات

     
كريتر سكاي             عدد المشاهدات : 86 مشاهده       تفاصيل الخبر       الصحافة نت
طبيب يكشف عن اصابة شاب بمرض السل بطريقة غريبة ورغم مرور سنوات

كريتر سكاي/خاص:

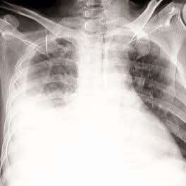
قال الدكتور وهاج المقطري:شاب ٢٤ عاما، اشتكى من ألم في صدره الأيمن منذ اسابيع، ظنه في البداية ألم عضلي بين الأضلاع، لكن مع مرور الأيام ازداد الألم وظهر عنده ضيق في التنفس فتوجه إلى أحد المستشفيات لإجراء الفحوصات،.

أظهرت الأشعة وجود تجمع سوائل في الجنب الأيمن فتم ترقيده وسحب السائل منه وأُعطي مضادات حيوية واسعة الطيف،، وتحسنت حالته لكن بعد أسبوع عاد الألم وضيق النفس من جديد،وأُظهرت الأشعة أن السوائل قد عادت الى صدره فطُلب منه إعادة سحب العينة لكنه رفض ثم جاء إلي..

كانت القصة غريبة،،!!

واضاف:

شاب سليم لا يعاني من أي من الأعراض الكلاسيكية للسل، ولم يشتكي من شئ طوال حياته، ونتائج فحص السل Mantoux و  (QFT) وحتى PCR كانت سلبية وتحليل السائل الجنبي لم يظهر سل ولا خلايا سرطانية،،.!! 

حين سألته هل في العائلة أحد مصاب بالسل، قال "مافيش، ولا أحد."،،لكن بعد قليل وانا اتناقش معه قال "الحمد لله انه الفحوصات ماطلعت سل، السل هذا خبيث، أمي توفت بسببه الله يرحمها،،!!

نظرت إليه بدهشة وقلت عادك قبل قليل لما سالتك قلت لي ما في أحد من أسرتك أصيب بالسل!؟، قال "انا قصدي اللي عايشين معي أما أمي ماتت وأنا طفل قبل عشرين سنة..!! 

وهنا استغرقني التفكير كثيرا!!

والحقيقة لست ادعي انني كنت ساطلب منه القيام باجراء خزعة جنبية (وهو الفحص ذو أعلى عائد تشخيصي في هكذا حالات) للتأكد اكثر من السل لولا انه قال ان والدته ماتت بالسل،،زاد دافعي أكثر علمي بان السل الجنبي احد اصعب الحالات تشخيصا فحتى فحص PCR قد يفوت التشخيص بسبب مايعرف ب (paucibacillary nature)،، فطلبت منه فورا اجراء خزعة جنبية وأقنعته بصعوبة بضرورة اجراءها..!! 

واختتم:

#في السل، قد تحدث عدوى كامنة لدى من احتكوا مباشرة بمريض مصاب ثم بعد مرور سنوات طويلة وظهور أي عامل(فيسيولوجي،باثولوجي،نفسي) قد يضعف المناعة تنشط تلك البؤر الكامنة ولو بعد حين،، ولذلك امام مريض يشتكي من عرض ما قد يحدثه السل فان اصابة أحد أفراد أسرته المحتكين معه حاليا ام قديما بالسل لابد ان يفتح الباب على مصراعيه للاشتباه بقوة باصابته بالسل والاستقصاء أكثر بين دهاليز الفحوصات والتقييم السريري..!! 

#وهاج_المقطري

 

شارك

Google Newsstand تابعوا آخر أخبارنا المحلية وآخر المستجدات السياسية والإقتصادية عبر Google news


تابعنا على يوتيوب

تابعنا على تويتر

تابعنا على تيليجرام

تابعنا على فيسبوك

الفريق ”محمود الصبيحي” يفاجئ ”عيدروس الزُبيدي” بضربة قاسية ومؤلمة

المشهد اليمني | 1177 قراءة 

وزير الخارجية الإيراني يتصل بنظيره القطري.. والأخير يلقنه درسا قويا

المشهد اليمني | 822 قراءة 

بدء الحرب البرية على إيران..

عدن أوبزيرفر | 686 قراءة 

فتحي بن لزرق يوجه رسالة إلى دول الخليج ويحذّرها من أكبر خطأ استراتيجي

بوابتي | 659 قراءة 

المحلل السياسي المصري حمدي الحسيني لـ“برَّان برس”: إضعاف إيران سيفتح نافذة للسلام في اليمن ويعيد جماعة الحوثي لحجمها الحقيقي (حوار)

بران برس | 551 قراءة 

ماذا يفعل الحوثي في رأس عيسى؟ سرّ ”الميزان الجديد” الذي صدم الجميع!

المشهد اليمني | 543 قراءة 

الحرس الثوري الإيراني يفعل جبهة اليمن ويأمر الحوثيين بإطلاق الصواريخ والمسيّرات

جنوب العرب | 526 قراءة 

عبدالملك الحوثي أمام قرار مصيري.. وترقب لما سيعلنه خلال أيام

نافذة اليمن | 510 قراءة 

الحوثي يعلن دعم هجمات إيران ويهدد دول الخليج

نافذة اليمن | 472 قراءة 

أزمة حقيقية تندلع داخل غرف عمليات الحوثي.. والخبراء الإيرانيون يهربون

المشهد اليمني | 450 قراءة